9 年
手机商铺
技术资料/正文
575 人阅读发布时间:2022-01-19 16:06



在每个测试的时间节点前,实验动物会被放置在装置里长达3天,以适应WBP全身描记器里的环境、噪音、和阀门开合引起的应力感觉/压力变化。为了达到实验动物的习惯化,每分钟给予6秒的矿物油蒸汽,长达30分钟。使用该分析装置的软件系统,研究人员对呼吸数据进行分析,包括吸气峰值、瞬间呼吸频率等呼吸参数,计算呼吸频率高于6Hz的时间(嗅探时间)。

为了验证上述半自动化老鼠嗅觉分析系统装置的有效性,研究人员巧用硫酸锌引发雄性小鼠暂时性的嗅觉灵敏度减退,当暴露在不同气味浓度逐渐增加的环境中,此嗅觉受损小鼠模型组均表现出嗅探时间的减少,嗅觉敏感度的显著降低。

半自动化嗅觉分析系统的验证
验证成功后,在最终气味检测能力实验前,研究人员还需使用WBP全身描记器设置的半自动化嗅觉分析系统进行一个步骤,以证明PFFs注射后的小鼠不会丧失最基本的呼吸能力和嗅探能力。如下图所示,经11次矿物油暴露后(为了实验动物模型的习惯化),所有的雌性实验组皆在所有3个时间节点表现出了新气味嗅探行为(>6Hz),这证明了无论是实验对照组或治疗组都保有最起码的嗅探运动功能。

小鼠注射PFFs 1、3、6个月后暴露于矿物油刺激时的呼吸频率变化
接着,如下图所示,研究人员对相同的小鼠进行了可能的渐进式气味检测灵敏度降低的探讨,分为6个实验组。相对于所有PFFs组,所有PBS对照组接受到新气味刺激时(6秒),皆表现出较为长时间的嗅探行为(呼吸频率>6Hz)。

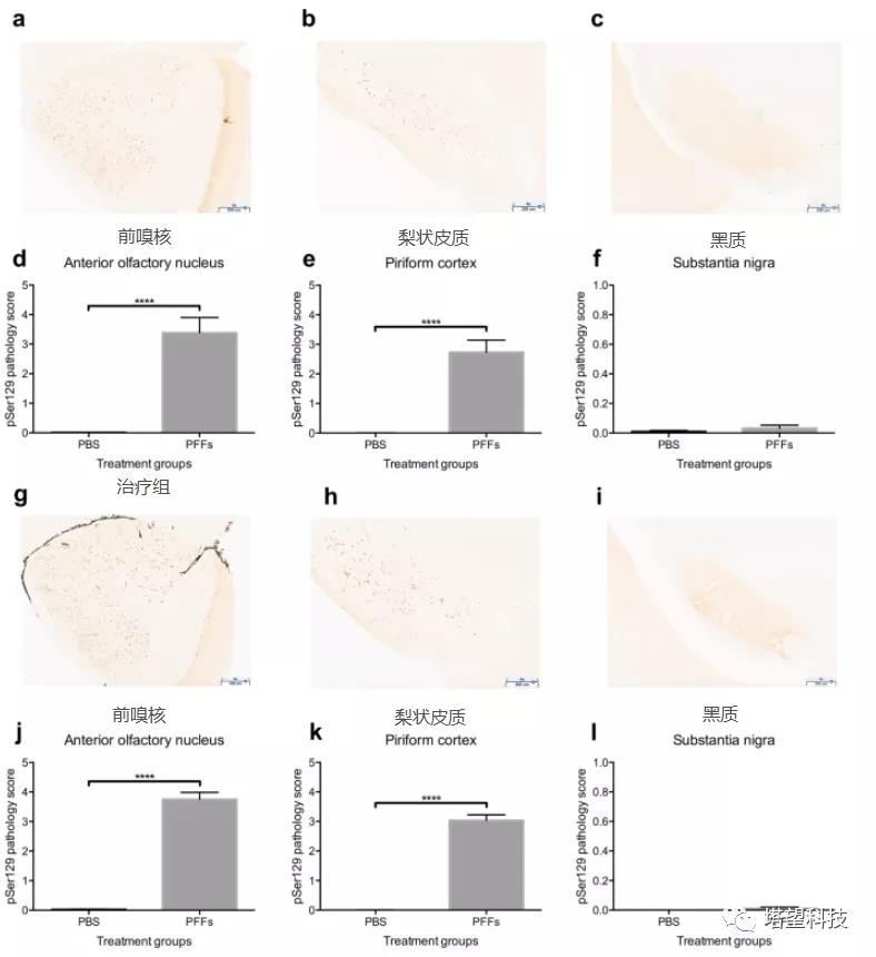
研究结果显示,正如研究所预期的一样,在注射6个月后,动物模型嗅觉系统在双侧嗅球注射PFFs后成功引发前嗅核和梨状皮质病理性pSer129 α-突触核蛋白广泛聚集,但无论是雌性或雄性小鼠,都没有发生黑质磷酸化α-突触核蛋白广泛聚集的病灶,也没有明显的呼吸运动障碍,包括自主呼吸和新气味嗅探行为。这支持了团队之前的推理,即接受PFFs注射的小鼠嗅探行为降低是由于嗅觉感觉缺失而非本身嗅觉运动缺失所导致。
嗅觉功能障碍是帕金森疾病的一个早期非运动性症状。虽然疾病早期常伴有有其他明显体征或症状如情绪紊乱、肠道功能紊乱、睡眠障碍等,但嗅觉功能障碍给帕金森病的早期诊断提供了最佳参考价值。利用WBP全身体积描记器设置的半自动化嗅觉分析系统相对于其他传统方法学更有能力检测到无法替代的嗅觉感知变化,原因有四:
第一,研究团队发现PFFs注射后的雌性鼠受到新气味刺激时表现为嗅探行为的减少(即便有完整的嗅探运动能力)。这足以证明这嗅觉缺损是因嗅觉结构里的α-突触核蛋白病灶的所导致的。
第二,此系统发现PFFs注射后的雄性鼠没有显示出与雌性鼠相同的嗅觉障碍。得力于WBP,进一步研究证明了雌性幼鼠在临床上具有更突出的“嗅觉优势”。在同样的PFFs治疗下,雌性鼠的嗅觉检测功能足以被显著削弱。

第三,如上图b项所示,使用该半自动化装置,发现小鼠随着相同气味浓度的提高,表现出了越发亢进的嗅探行为,这有违我们先前的气味习惯化理论,有助于激发研究人员进一步分析的兴趣。其中一种解释是,随着浓度的提高,动物对相同的气味的“感知”是不一样,好比说,当人类闻到浓度低的香烟味时,会感觉气味略带有“香气”,而当浓度高时,人类被浓烟“呛”到窒息。
第四,如上图e、f所示,在注射PFFs 3、6个月后的传统埋藏食物小球试验里,雌性PBS组(对照组)和PFFs组(治疗组)的等待时间无明显差异。
总之,这种借助WBP全身描记系统的分析方法学有助于让科研人员深入研究α-突触核蛋白对嗅觉感知的影响及其病理机制。对于未来的研究方向,可在上述研究结果基础上,通过连续稀释PFFs进行小鼠嗅球注射后评估嗅觉缺损,从而深入研究嗅觉缺损与α-突触核蛋白病理负载的关联。配合使用灵敏度更高的WBP全身描记法,开发和评价潜在的治疗干预方案,研究预防嗅觉减退、α-突触核蛋白病灶蔓延、神经元功能障碍或丧失的有效途径。开发针对减少α-突触核蛋白合成、分泌、聚集以及增加清除该致病性寡聚体的治疗方式,成为当前攻克帕金森病的最具前景的手段。
塔望科技在同类进口产品上升级整合,开发出集成化更高的全身体积描记系统(WBP),使操作最简化。

我们期待与各位客户进行创新型的技术开发和合作。我们可根据用户不同的需求在WBP系统上进入深入的整合定制,协助用户进行各种动物呼吸检测、呼吸代谢监控、嗅觉刺激相关行为学实验,可与持续注射给药、光遗传、微透析联用、可用于睡眠呼吸研究、哮喘研究、药物评价、毒性研究等。